Book Your Appointment Today

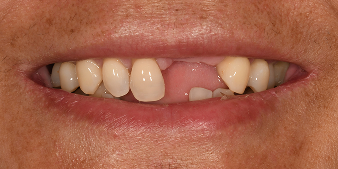
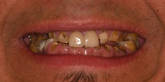
Dr. Julia Lee's Patient Smile Gallery | Walnut Creek, CA

To Help You Achieve the Goal of Exceptional Dental Health and Wellness.

Exceptional patient care, Patient safety and Patient service are paramount

Hear From Our Patients

Our patients love their new smiles. Read what they have to say about their experience at Julia Lee D.D.S.

★★★★★

“Dr. Lee and her team are amazing. They made me feel so comfortable and my new smile is beyond what I expected. I could not be happier!”

★★★★★

“The best dental experience I have ever had. Dr. Lee is truly an artist. My veneers look completely natural and I smile with confidence every day.”

★★★★★

“From start to finish, the process was seamless. The staff is friendly, professional, and truly cares about their patients. Highly recommend!”

FREE CONSULTATION

Ready to transform your smile? Schedule your free consultation today and discover what we can do for you.

Book Your Free Consultation

Visit Our Friendly Office!

We look forward to welcoming you and helping you achieve the smile of your dreams.

2211 Olympic Blvd, Walnut Creek, CA 94595
Mon: 8AM–5PM | Tue–Wed: 8AM–6PM | Thu–Fri: 8AM–5PM