Book Your Appointment Today

Tooth Colored Fillings

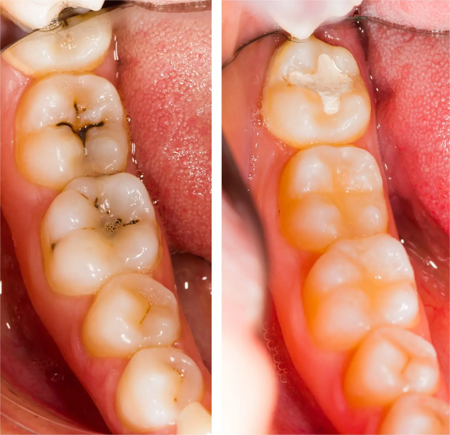
Understanding Tooth-Colored Fillings

Tooth-colored fillings, also known as composite fillings, are dental restorations designed to mimic the natural appearance of your tooth enamel. Unlike traditional metal amalgam fillings, composite fillings blend seamlessly with your natural teeth, providing a virtually invisible restoration.

Composite fillings contain no mercury, making them a safer and more biocompatible choice for patients concerned about the materials used in their dental care. They also require minimal tooth removal during placement, which means more of your natural tooth structure is preserved.

One of the greatest advantages of tooth-colored fillings is that they bond directly to the tooth, providing structural support that actually strengthens the remaining tooth. This direct bonding creates a tight seal that helps prevent future decay from forming at the margins of the filling.

Tooth-colored composite dental filling
1

Natural Appearance

Blends perfectly with your natural teeth for an invisible restoration.

2

Mercury-Free

A safe, biocompatible alternative to traditional amalgam fillings.

3

Tooth Preservation

Requires minimal removal of natural tooth structure.

4

Structural Support

Bonds directly to the tooth, strengthening the overall structure.

Tooth-colored filling procedure

The Procedure and Post-Care

Tooth-colored fillings are typically completed in a single visit. The procedure begins with the careful removal of any decay from the affected tooth. Once the tooth is prepared, the composite resin material is applied in layers, with each layer being hardened using a special curing light.

After the layers are built up, Dr. Lee carefully shapes the filling to fit your bite precisely. The final step involves polishing the restoration to a smooth finish, which helps prevent staining and gives the filling a natural luster that matches your surrounding teeth.

Post-Care Guidelines

  • Maintain good oral hygiene — Brush twice daily and floss regularly to ensure the longevity of your filling.
  • Avoid staining foods for 48 hours — Coffee, tea, red wine, and berries can stain the composite material in the first few days.
  • Schedule regular check-ups — Routine dental visits allow Dr. Lee to monitor your fillings and overall oral health.

Frequently Asked Questions

What are tooth-colored fillings made of?

Tooth-colored fillings are made from composite resin, a blend of fine glass particles and plastic that can be precisely shade-matched to your natural tooth color. Unlike traditional amalgam fillings, composite resin is mercury-free and bonds directly to the tooth structure for added strength.

How long do composite fillings last?

With proper care, tooth-colored fillings typically last between 7 and 10 years, and in many cases longer. Longevity depends on the size and location of the filling, your bite forces, and your oral hygiene habits. Dr. Lee monitors your fillings at each check-up and will advise you if a replacement is needed.

Can old metal amalgam fillings be replaced with tooth-colored fillings?

Yes. Many patients choose to replace existing metal fillings with composite resin for cosmetic reasons or concerns about mercury content. Dr. Julia Lee can evaluate your current fillings and discuss whether replacement is appropriate. The procedure is straightforward and is completed in a single appointment.

Is the procedure for getting a tooth-colored filling painful?

The procedure is performed under local anesthesia, so you should not feel pain during treatment. Mild sensitivity to temperature or pressure is normal for a few days following placement and typically resolves on its own. If discomfort persists, contact our office.

Do composite fillings stain over time?

Composite resin can absorb pigment from highly colored foods and beverages such as coffee, tea, red wine, and berries, particularly in the first 48 hours after placement. To minimize staining, avoid these items immediately after your appointment and maintain regular brushing and professional cleanings to keep your filling looking its best.

Visit Our Friendly Office!

We look forward to welcoming you and helping you achieve the smile of your dreams.

2211 Olympic Blvd, Walnut Creek, CA 94595
Mon: 8AM–5PM | Tue–Wed: 8AM–6PM | Thu–Fri: 8AM–5PM